Chirurgien-dentiste pour esthétique dentaire à Paris 17
Le Docteur Youri Emsallem, chirurgien dentiste à Paris 17 ème vous propose son expertise dans le domaine de la dentisterie esthétique. Le monde d’aujourd’hui attache une importance toujours plus grande à l’image que nous renvoyons.
À ce titre, votre sourire doit représenter votre personne mais plus encore, il doit être un atout pour exprimer votre nature et votre personnalité !
Les « désordres » esthétiques peuvent revêtir plusieurs formes :
- La teinte des dents peut être trop foncée, trop jaune, ou trop grise.
- D’anciennes prothèses peuvent s’avérer inesthétiques après plusieurs années lorsqu’un liseré sombre apparait au niveau de la gencive.
- Certaines vieilles restaurations (plombages) s’avèrent souvent inesthétiques lors du sourire.
- Les dents ont parfois des formes inesthétiques ou pas assez homogènes entre elles.
- Elles sont parfois mal positionnées avec des chevauchements et des défauts d’alignement.
- Le Docteur Emsallem peut vous proposer des solutions à chacune de ces problématiques :
- Éclaircissement dentaire (blanchiment)
- Traitement des taches blanches de l’émail
- Prothèses tout céramiques (couronnes, bridges, inlays onlays)
- Facettes céramiques
- Traitement d’orthodontie invisible par gouttières d’alignement
Prenez rendez-vous avec le chirurgien-dentiste à Paris :
Gouttières transparentes
Alignement dentaire avec gouttières transparentes à Paris 17
Madame V., 33 ans, se présente à la consultation avec le souhait de réaligner ses dents pour améliorer l’esthétique de son sourire. Elle a déjà subi un traitement orthodontique à l’adolescence qui a récidivé ces dernières années. Elle présente aujourd’hui un encombrement dentaire qui se traduit par un chevauchement de ses dents qu’elle trouve inesthétique.
Compte tenu de sa volonté d’avoir un appareillage discret, nous lui proposons un traitement par gouttières transparentes afin de réaligner ses dents correctement. Le principe du traitement consiste en la réalisation d’un projet orthodontique (set-up) qui permet de séquencer différentes étapes de mouvements des dents afin d’aboutir à un alignement parfait en fin de traitement.
Chaque étape correspond à une gouttière qui devra être portée jours et nuits à l’exception des repas pendant une durée de 15j à 3 semaines. En fin de traitement, des contentions sont réalisées afin de limiter au maximum le risque de récidive de l’encombrement.


Facettes en céramique à Paris 17
Cas clinique 1 – Les facettes en céramique pour fermer des espaces entre les dents et les éclaircir
Madame A. 53 ans, se présente en consultation avec la volonté de régler plusieurs problèmes esthétiques qu’elle a identifié sur son sourire.
Elle souhaite fermer les espaces qui existent entre ses dents et régler la différence de teinte de sa canine supérieure gauche.
Après une analyse poussée de la situation, nous proposons à la patiente la réalisation de 6 facettes céramique pour retrouver une harmonie de teinte et de forme de ses dents.
Notre patiente émet des doutes sur le projet, car elle a peur que le résultat ne soit pas suffisamment naturel. Nous décidons alors de faire réaliser un projet à notre laboratoire en lui donnant les instructions pour répondre aux souhaits de notre patiente.
Ce projet est « essayé » en bouche avec une résine avant même que nous ayons touché aux dents de Madame A. Cela lui permet de visualiser le résultat final potentiel avant de valider la suite du traitement. Le projet est laissé pendant quelques jours en bouche pour que la patiente puisse le faire « valider » par ses enfants et son mari dont les avis étaient importants pour elle.
Le projet validé, nous pouvons commencer le travail avec une patiente rassurée et enthousiaste sur le résultat qu’elle a déjà entrevu !
Quelques semaines plus tard, les facettes en céramique sont collées sur les dents de notre patiente ravie d’avoir franchi le pas !





Cas clinique 2 – Remplacement de 2 anciennes facettes en céramique sur des incisives
Monsieur K. 26 ans, nous est adressé par un confrère pour la réfection d’une facette en céramique suite à une fracture.
Après analyse des photos, nous convenons ensemble de refaire les 2 prothèses pour essayer d’obtenir un résultat plus caractérisé et plus naturel.
II dit trouver ses facettes trop blanches et surtout trop uniformes.
Super challenge! Nous allons essayer de donner toutes ces informations à notre super prothésiste pour qu’il puisse proposer une nouvelle forme qui soit plus en adéquation avec le caractère sympathique et jovial de ce jeune patient.
Nous décidons d’un commun accord de donner un peu plus de rondeur à ces incisives pour leur donner un caractère plus marqué, moins uniforme.
Un travail magnifique de notre céramiste est aussi réalisé au niveau du bord des dents pour redonner la transparence, le bleuté et l’opalescence que l’on retrouve sur ses incisives latérales.
Pari gagné! Le patient est conquis, il est encore plus heureux de faire travailler ses zygomatiques!




Cas clinique 3 -Traitement esthétique avec 8 facettes en céramique
Madame O. se présente à la consultation en urgence suite à la fracture d’une facette en céramique sur une incisive. La patiente souhaite en profiter pour réactualiser le travail initialement fait sur les 4 dents de devant.
Après analyse de son sourire, nous lui proposons d’étendre le travail jusqu’au premières prémolaires soit 8 dents au total pour un meilleur résultat esthétique.
L’objectif étant d’élargir son sourire pour le rendre plus visible. Nous cherchons également à rallonger un peu les dents antérieures qui nous semblent un peu courtes et pas assez dominantes dans le sourire actuel. Une harmonie de forme doit ainsi être trouvée notamment avec la lèvre inférieure lors du sourire.
En dernier lieu, c’est la teinte qui doit correspondre aux attentes de la patiente qui souhaite un joli sourire sans pour autant tomber dans quelque chose d’artificiel.
Les photos et la visite au laboratoire permettront d’affiner tous ces paramètres et de faire parler un peu la magie pour aboutir au résultat final!
La patiente est conquise, oubliée la détresse d’avoir fracturé sa précédente facette!




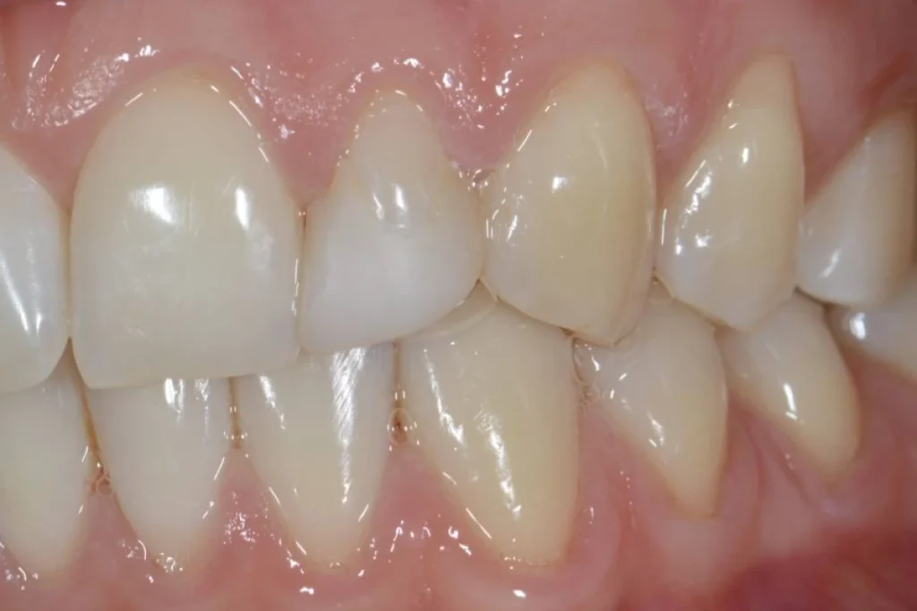
Couronne dentaire à Paris 17
Cas clinique 1 – Remplacement d’une ancienne couronne et réalisation d’une facette en céramique sur incisives
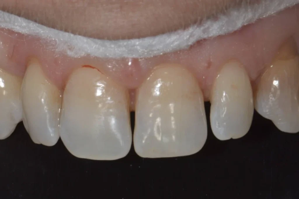
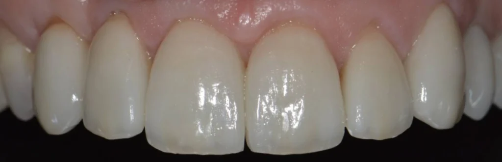
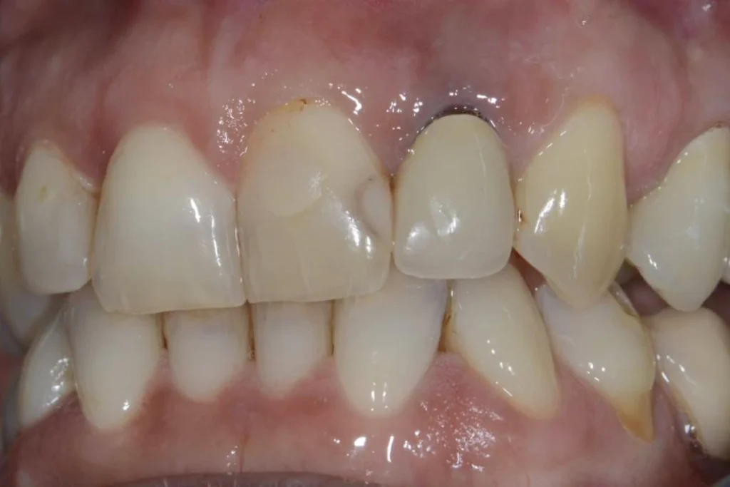
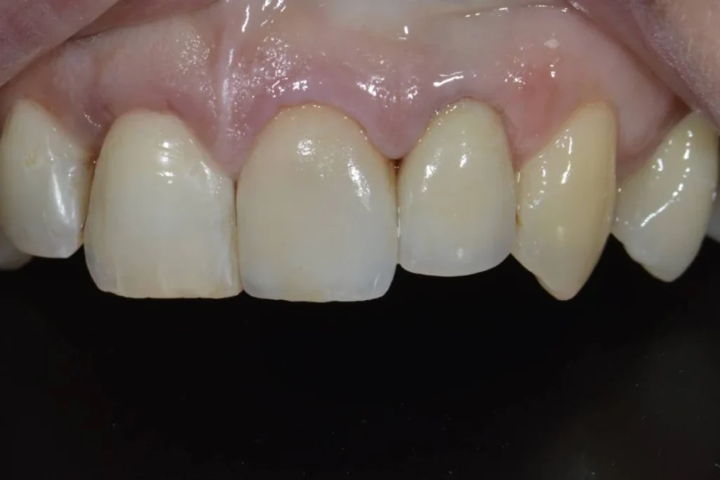
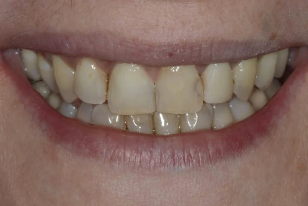
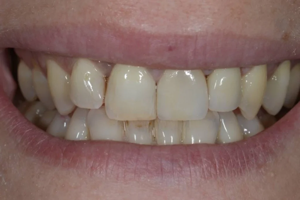
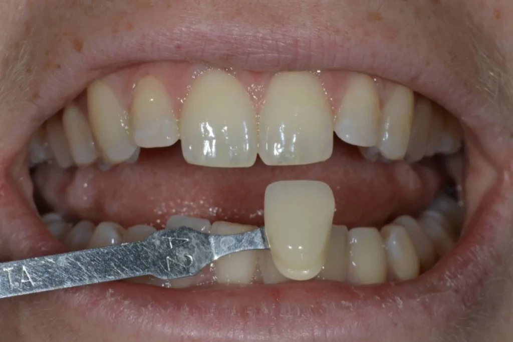
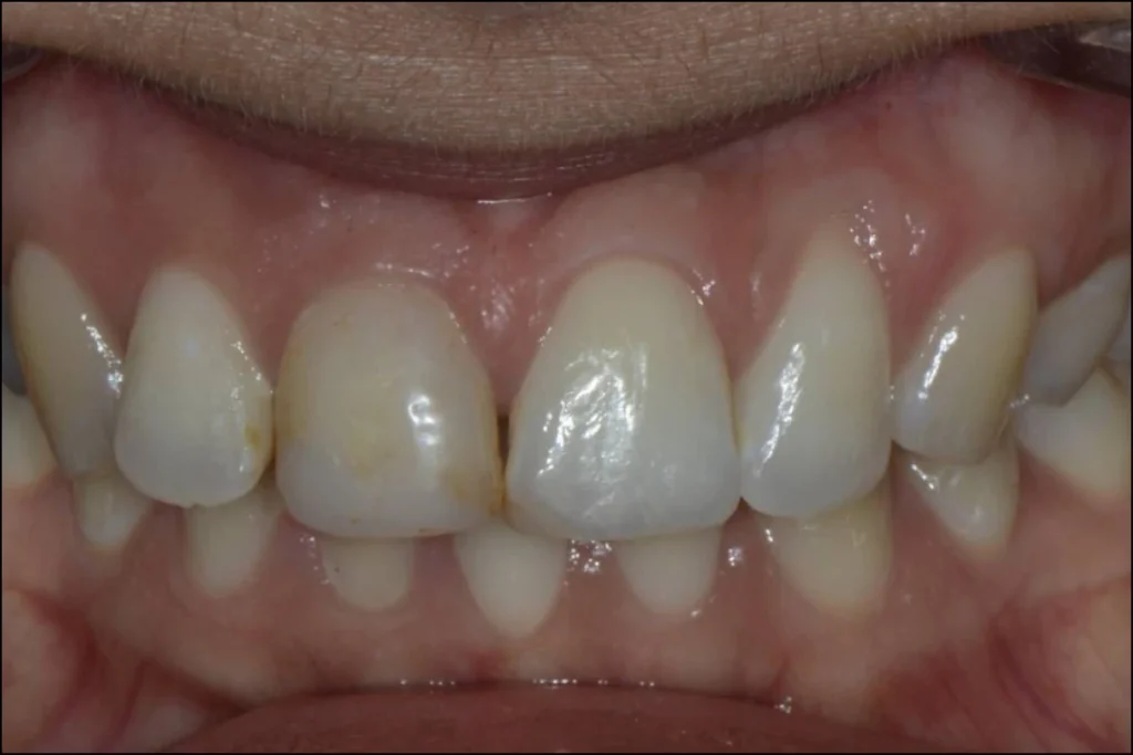
Madame D. 48 ans, se présente à la consultation pour remplacer une vieille couronne qui laisse apparaitre un liseré noir à la jonction avec la gencive.
Après analyse de la situation, nous proposons à notre patiente de remplacer cette couronne par une couronne tout céramique et de réaliser une facette en céramique sur l’incisive centrale adjacente, car cette dernière présente une teinte plus jaune et des composites inesthétiques.
Au départ très inquiete par l’appellation de facette qui lui évoque un aspect « fake » qu’elle ne souhaite surtout pas, elle décide de nous faire confiance pour respecter au maximum sa volonté de conserver les imperfections d’alignement et de forme des dents pour coller au plus près de l’ADN de son sourire actuel.
Challenge accepté !
Un confinement et un été en province plus tard, le travail peut enfin être finalisé.
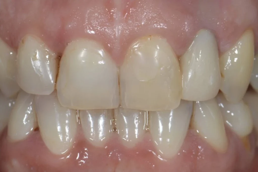
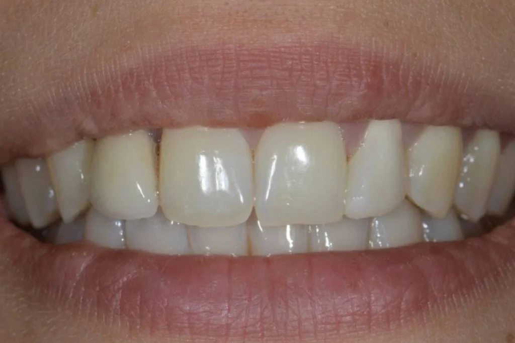
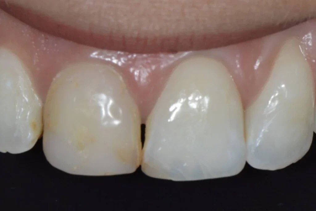
Le cahier des charges est respecté par notre prothésiste qui une fois de plus délivre un travail d’une qualité exceptionnelle !
La patiente ne regrette pas la confiance qu’elle nous a témoignée et c’est notre plus grande satisfaction !





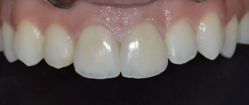
Cas clinique 2 – Remplacement d’une couronne sur une incisive centrale
Madame F. 43 ans, nous est adressée par un confrère de province pour une prise en charge globale.
La patiente souhaite prendre soin de ses dents à commencer par cette couronne sur son incisive centrale qui bouge et qui la complexe sur le plan esthétique.
La plus grande crainte de notre patiente est de retrouver sa dent dans sa main pendant un repas…
Nous lui proposons de réaliser rapidement une dent provisoire pour la rassurer et lui permettre de sourire sans crainte à nouveau.
Une fois le travail préparatoire terminé, la patiente est invitée à se rendre au laboratoire pour que notre prothésiste puisse relever ce gros challenge qu’est l’incisive centrale unitaire. Il est en effet très difficile d’aboutir à un résultat de cette qualité sans un travail personnalisé par un artisan d’exception!
La couronne tout céramique est posée quelques jours plus tard et la patiente est ravie de pouvoir oublier sa dent à nouveau!


Cas clinique 3 – Traitement d’une jeune patiente par des couronnes tout céramique et des facettes
Madame O. 28 ans se présente en consultation car elle souhaite améliorer son sourire. Un examen clinique et radiographique complet met en évidence une usure très prcoce et généralisée de ses dents. La patiente nous explique avoir des antécédents de troubles alimentaires qui se sont traduits par des vomissements très fréquents. C’est l’acidité liée à ces vomissements qui a entrainé une érosion dentaire sévère et qui a usé les dents de notre jeune patiente très prématurément.
En plus de la complexer sur le plan esthétique, l’usure de ses dents lui rappelle quotidiennement les mauvais souvenirs de sa maladie.
La perte de substance au niveau des dents étant majeure, nous avons proposé à la patiente une prise en charge globale visant à retrouver la matière perdue ces dernières années.
Ce sont donc des restaurations en céramique de type couronnes et facettes qui ont été réalisées sur l’ensemble des dents de notre patiente afin de restaurer l’esthétique et la fonction.
Après plusieurs mois de travail, la patiente est prête à affronter la vie avec un sourire et une confiance en elle retrouvée.




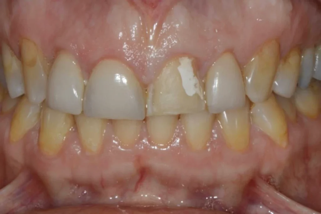
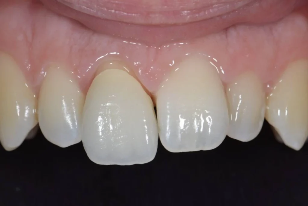
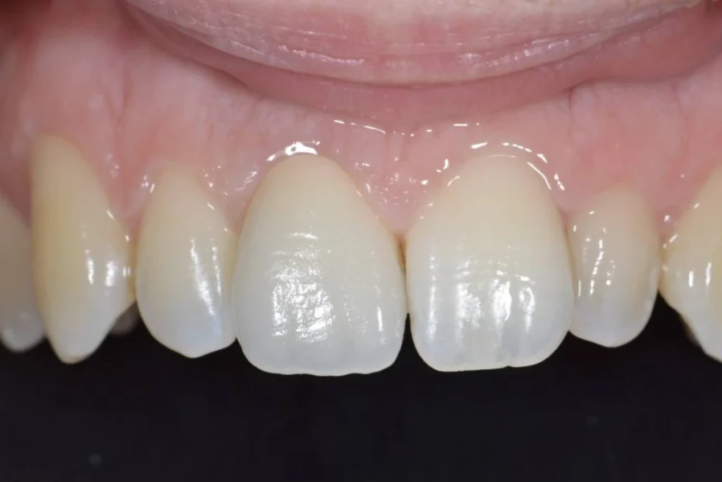
Cas clinique 4 – Couronne tout céramique sur dent vivante pour remplacer un vieux composite sur une incisive riziforme
Madame C. 29 ans revient nous voir après plusieurs mois passés à l’étranger pour le boulot et souhaite faire quelque chose pour améliorer l’esthétique de son incisive latérale gauche. Pour corser un petit peu le tout, elle nous annonce repartir vivre à l’étranger dans 3 semaines et souhaite donc finaliser ce traitement dans le temps imparti…
Challenge accepté! C’est toujours touchant quand un patient revient nous voir après du temps passé à l’étranger pour nous confier ce type de travaux très exigeants. Notre patiente présente actuellement un composite pour masquer l’aspect riziforme (en forme de grain de riz) de son incisive latérale. Elle trouve cette ancienne résine inesthétique et souhaite réaliser une couronne tout céramique pour masquer cette différence de forme et accorder la teinte de sa dent avec celles d’à côté.
Après retrait du composite, la dent est préparée sous loupes à fort grossissement afin de réalisé le travail avec minutie. Une dent provisoire est réalisée pour permettre à la patiente de garder une vie normale pendant le temps de travail de notre prothésiste. Comme dans tous les traitements esthétiques, la patiente est invitée à se rendre au laboratoire afin que le prothésiste puisse réaliser un travail au rendu exceptionnel.
La couronne tout céramique est posée dans les jours qui suivent. La patiente ravie peut de nouveau quitter la France pour aller vers de nouvelles aventures!



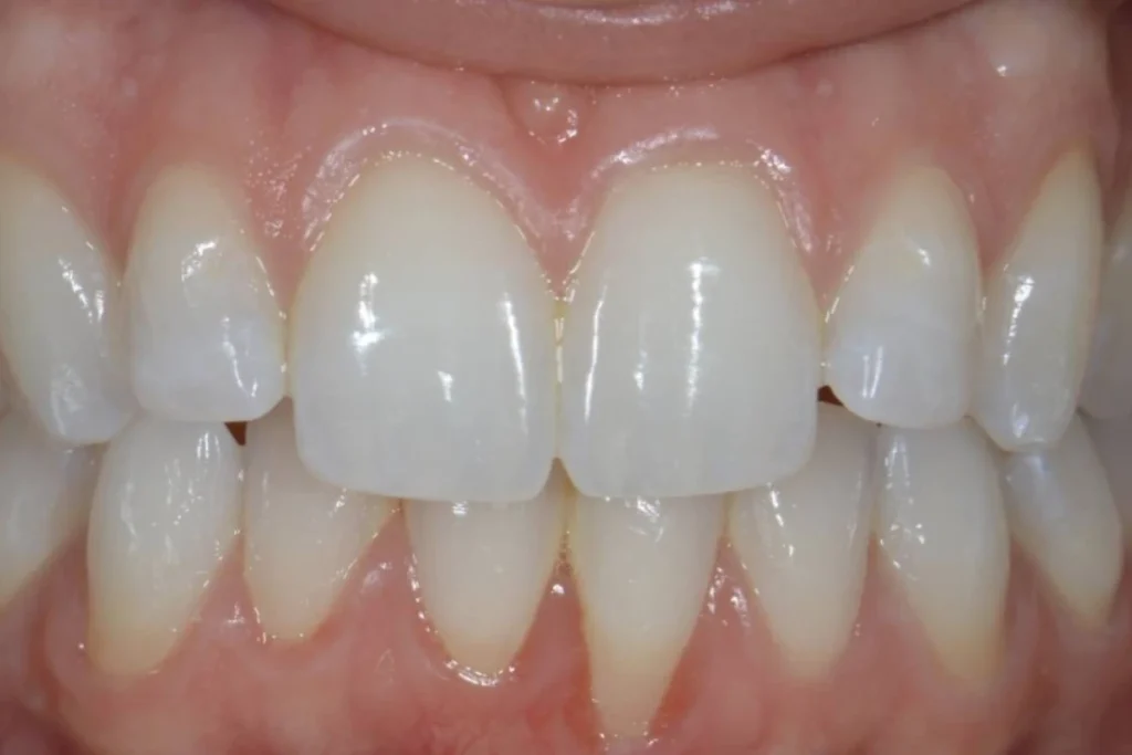
Cas clinique 5 – Remplacement d’une veille couronne inesthétique par une couronne tout céramique sur une incisive centrale
Monsieur M. 30 ans consulte au cabinet car il souhaite remplacer une vieille couronne qu’on lui a posé il y a plus de 10 ans suite à un accident sur son incisive centrale.
C’est LE challenge ultime pour l’équipe dentiste prothésiste car il s’agit de réaliser une prothèse « invisible » pour retrouver l’esthétique du sourire de notre patient! Lors de la consultation initiale, nous expliquons au patient les différentes étapes du traitement.
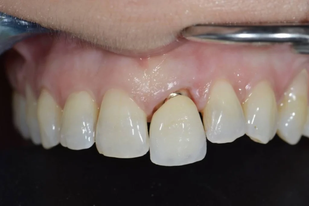
Après analyse clinique et radiographique, le remplacement de cette vieille couronne va nécessiter plusieurs étapes préalables. Le traitement de racine de cette dent doit être repris pour éviter tout risque d’infection. Le niveau de la gencive de notre incisive droite a été corrigé à l’aide d’une gingivectomie (modification de la forme de la gencive) pour obtenir une bonne symétrie avec l’incisive gauche.
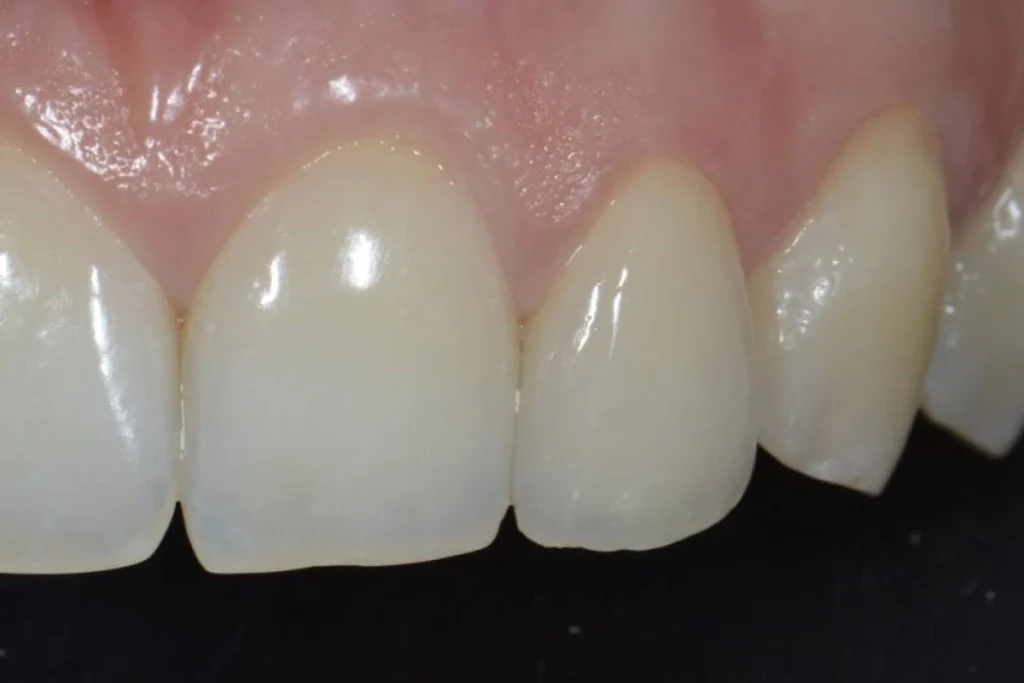
L’empreinte est réalisée et une dent provisoire esthétique est scellée provisoirement afin de permettre au patient de sourire normalement en attendant sa prothèse d’usage. Dans ces situations complexes, nous proposons systématiquement à nos patients de se rendre au laboratoire de prothèse afin que le prothésiste puisse faire la prise de teinte. C’est indispensable que l’artisan qui va réaliser ce travail d’orfèvre puisse rencontrer le patient pour aboutir à un tel résultat.
La couronne tout céramique est posée quelques jours après pour le plus grand bonheur de notre patient et de notre équipe!




Éclaircissement / Blanchiment dentaire
Cas clinique 1
Madame D. 25 ans, nous est adressée par son amie à qui nous avons réalisé un éclaircissement dentaire. Bluffée par le résultat, elle souhaite elle aussi donné un petit coup de pep’s à son sourire avant l’été!
À la fin de sa première consultation, la patiente repart avec un devis pour un bon détartrage en profondeur et un blanchiment. L’éclaircissement ne peut être envisagé que dans une bouche saine, sans carie, sans infection et sans inflammation des gencives! À la fin du détartrage, nous réalisons des empreintes qui permettront de réaliser les gouttières dans lesquelles le produit éclaircissant est placé.
Quelques jours après, la patiente revient récupérer son matériel. On lui dispense quelques conseils pour le bon déroulement du traitement. La patiente est invitée à porter ses gouttières la nuit pendant environ 2 semaines en fonction du résultat souhaité.
15 jours plus tard, la patiente revient en rendez-vous de contrôle bluffée par le résultat! Les vacances peuvent commencer!


Cas clinique 2 – Blanchiment, orthodontie et couronne tout céramique
Madame M. 26 ans, est adressée à notre cabinet par une consoeur pour une réhabilitation esthétique du sourire. Après traitement d’une infection dentaire par notre collègue, la patiente souhaite maintenant retrouver le sourire et remplacer un composite inesthétique réalisé suite à un choc des années auparavant.
Après un examen clinique approfondi, nous proposons à la patiente une réhabilitation globale mettant en oeuvre un traitement d’orthodontie pour aligner les dents et permettre une bonne intégration de la future couronne tout céramique.
La réalisation de la prothèse sera précédée par un éclaircissement pour redonner de l’éclat à son sourire.
Comme toujours lorsqu’il s’agit de traitement esthétique, la patiente doit passer au laboratoire afin que notre prothésiste puisse réaliser un travail d’exception qui se fondra dans la bouche de notre patiente exigeante. Après plusieurs mois de traitement, le résultat est là, la patiente est ravie de son nouveau sourire!




